1. Răng hô là gì, gồm những loại nào?
1.1. Thế nào là răng hô?
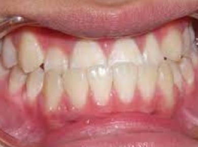
Răng hô (răng vẩu) là một dạng sai lệch về khớp cắn khiến cho tỷ lệ tương quan giữa hàm trên với hàm dưới có sự sai khác. Hệ quả của tình trạng ấy chính là phần hàm trên bị nhô ra nhiều hơn so với phần hàm dưới. Đây chính là một dạng sai lệch khớp cắn gây ra nhiều rắc rối từ yếu tố thẩm mỹ cho đến khâu nhai nuốt.
1.2. Phân loại răng hô
Răng hô được phân thành 3 loại chính:
- Hô do răng
Hiểu đơn giản thì đây chính là tình trạng răng mọc ở hàm trên có xu hướng mọc hướng ra phía trước. Bình thường, nếu răng mọc chuẩn thì phải mọc theo phương thẳng đứng nhưng với những người này răng lại bị chìa ra ngoài.
- Hô do bản thân xương hàm
Răng bình thường mọc theo phương thẳng đứng nhưng khi phần xương hàm trên phát triển quá mức thì phần hàm trên sẽ bị nhô ra nhiều hơn so với hàm dưới và gọi là răng hô.
- Hô do cả răng lẫn xương hàm
Trường hợp này hô tương đối nặng vì phần răng mọc lệch hẳn ra ngoài và phần hàm trên phát triển quá mức. Hậu quả là tình trạng hàm trên vừa mọc lệch lại vừa nhô ra rất nhiều so với hàm dưới.
2. Nguyên nhân dẫn đến bệnh răng hô
Tác nhân chính khiến răng bị hô gồm:
- Di truyền: khi gia đình có người bị răng hô thì con cái thuộc thế hệ sau cũng có thể gặp phải tình trạng này.
- Không có sự tương thích giữa tỷ lệ răng với xương hàm: do răng có kích thước lớn trong khi hàm thiếu chỗ nên răng bị mọc lệch và nhô hẳn ra ngoài.
- Bệnh lý về xương hàm: sự phát triển quá mức hoặc không như bình thường cũng gây ra hiện tượng răng hô. Đối với trường hợp này, nếu bị với mức độ nặng sẽ phải can thiệp sâu mới giải quyết được.
- Các thói quen xấu: trẻ có thói quen mút tay, ngậm ti giả không đúng cách,… trong quá trình thay răng có thể tăng nguy cơ bị hô răng.
3. Ảnh hưởng của răng hô và phương pháp điều trị
3.1. Hệ lụy do răng hô gây ra
Những ảnh hưởng của răng hô tới sức khỏe gồm:
- Ảnh hưởng đến chức năng nhai
Răng hô làm cho khớp cắn bị sai lệch nên người bị tình trạng răng miệng này hai hàm sẽ khó cắn khớp được với nhau. Ngoài ra họ cũng chính là người sẽ gặp phải khó khăn khi nhai nhỏ thức ăn.
- Khó vệ sinh răng miệng
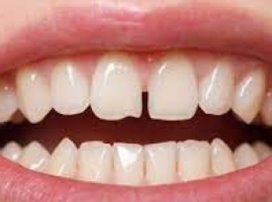
Sự sai lệch khớp cắn do răng hô dẫn đến tình trạng các răng mọc không đều, kết quả là có khoảng trống giữa các răng. Tình trạng này khiến cho việc vệ sinh răng hô cần phải cẩn thận và kỹ lưỡng hơn rất nhiều so với răng mọc bình thường.
- Phát âm gặp trở ngại
Vì hàm của người bị hô răng không khớp nên họ khó phát âm tròn vành và rõ chữ được. Chính điều này trở thành rào cản cho họ trong quá trình giao tiếp, gây mất tự tin từ đó giảm sút hiệu quả công việc.
- Các hậu quả khác
+ Ảnh hưởng tiêu cực đến tính thẩm mỹ của khuôn mặt nên việc giao tiếp bị hạn chế.
+ Sự thăng tiến trong cuộc sống và công việc bị giảm sút.
+ Nếu răng hô không được điều trị sớm tăng mức độ chìa ra theo thời gian và ảnh hưởng đến hệ thống nhai, cấu trúc xương hàm, tác động xấu đến khớp thái dương hàm.
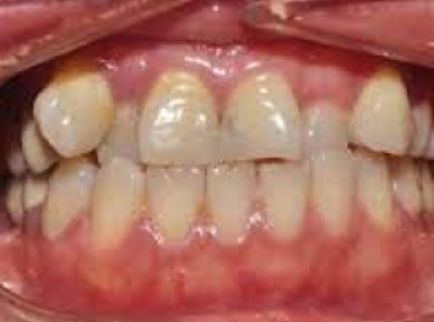
+ Dễ mắc phải một số bệnh lý như: hôi miệng, viêm nha chu, bệnh liên quan đến đường tiêu hóa,…
3.2. Phương pháp điều trị răng hô
- Phẫu thuật
Đối với những người bị hô răng do xương hàm có thể điều trị bằng can thiệp phẫu thuật cắt chỉnh xương hàm. Kỹ thuật này dùng công cụ hỗ trợ là máy móc nha khoa hiện đại để cắt xương hàm với mục đích điều chỉnh độ cân đối, vị trí của khớp cắn giữa hai hàm từ đó khắc phục được tình trạng hô.
Điều cần lưu tâm là phương pháp điều trị này tương đối tốn kém, dễ tiềm ẩn nguy cơ chấn thương thần kinh hoặc nhiễm trùng. Do đó người bệnh chỉ nên thực hiện khi có chỉ định của bác sĩ và cần điều trị tại cơ sở nha khoa uy tín.
- Niềng răng
Đây là phương pháp điều trị tương đối hiệu quả dành cho những trường hợp răng hô do xương hoặc răng. Theo đó, người bị hô răng sẽ được dùng các khí cụ niềng răng chuyên dụng để dịch chuyển răng sai lệch về đúng với vị trí, nhờ đó giải quyết được những hệ lụy do răng hô gây ra.
- Bọc răng sứ
Rất nhiều người chọn phương pháp này để điều trị răng hô vì thời gian thực hiện nhanh (2 - 4 ngày) mà vẫn đảm bảo tính thẩm mỹ cao.
- Kết hợp phẫu thuật với niềng răng
Nếu hô răng xuất phát từ nguyên nhân vừa do xương hàm vừa do răng thì có thể điều trị bằng phương pháp này. Theo đó, phẫu thuật sẽ được tiến hành trước rồi một thời gian sau mới niềng răng để làm chuẩn khớp cắn, giúp răng đều hơn, tránh được trường hợp răng nghiêng hoặc di chuyển vào khoảng trống giữa các răng sau khi đã phẫu thuật.
Nói tóm lại, răng hô không có khả năng tự phục hồi nên nếu muốn điều trị tình trạng này cần có sự can thiệp của bác sĩ nha khoa. Việc điều trị được tiến hành càng sớm thì càng dễ đạt được mục đích như mong muốn mà giảm thiểu được chi phí.
Hy vọng với những nội dung được chia sẻ trên đây bạn đã hiểu hơn về răng hô và cách xử lý với tình trạng nha khoa này. Nếu quyết định điều trị, hãy lưu ý tìm hiểu kỹ để chọn đúng địa chỉ nha khoa uy tín, điều này sẽ giúp bạn đạt được mục đích của mình và tránh được các rủi ro không đáng có khi khắc phục răng hô.
